Mycobacterium tuberculosis
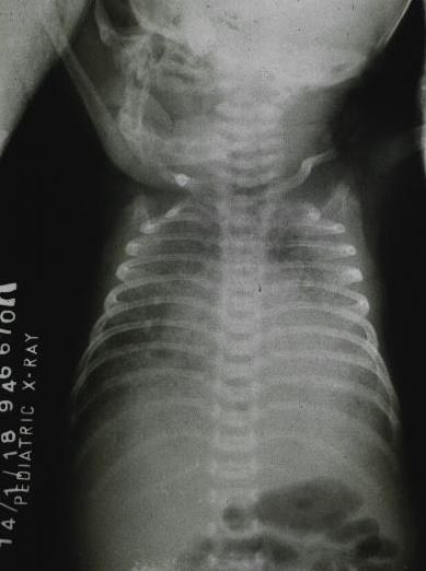
Radiography of the male infant with pulmonary TB : Chest x-ray of the same infant of the above infected with mycobacterium tuberculosis.