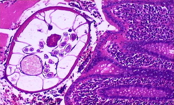
Enterobiasis
Enterobiasis, appendix : Cross section of pin worm in the lumen of appendix. Not the spine at the outer cuticle.