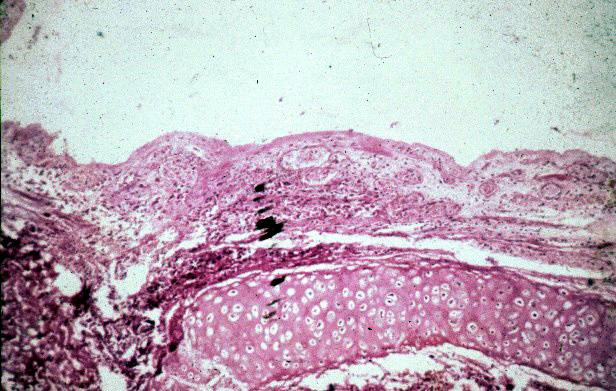
Membranous inflammation, trachea : Microscopic low power displays the membrane comprising newly-formed small blood vessels, minimal amounts of inflammatory cells and young fibroblastic cells replacing the pre-existing mucosa of trachea. (Erase Marks)