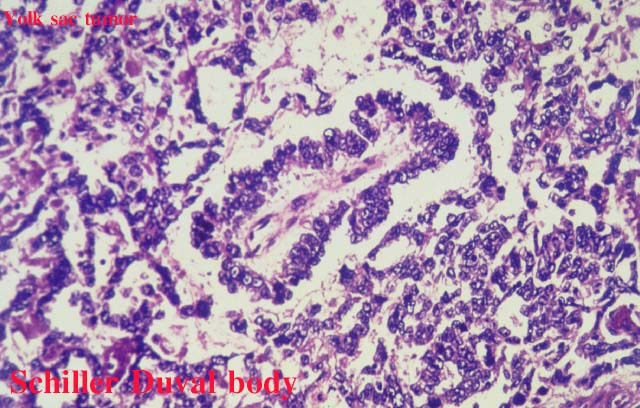
Germ cell tumor
Yolk Sac Tumor (Endodermal Sinus Tumor) : the tumor cells arranged in pseudorosette pattern called Schiller Duval 's bodies