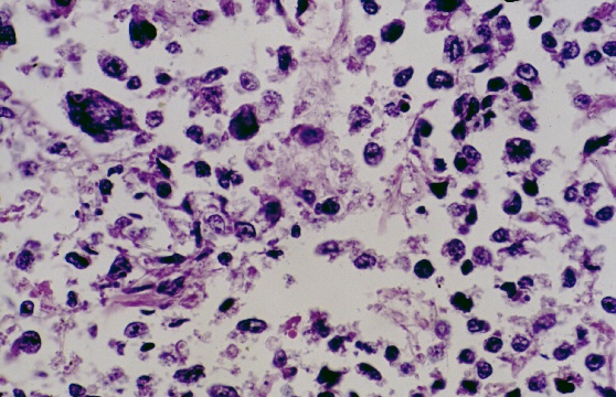
Germ cell tumor
Yolk Sac Tumor (Endodermal Sinus Tumor) : High power shows the tumor cells with scant acidophilic cytoplasm and enlarged hyperchromatic, varying-sized, round to oval nuclei.