ชื่อเฉพาะของ Fracture ที่ใช้กันบ่อย ๆ

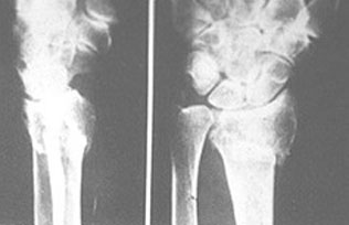
       Colles'Fracture เป็นกระดูกหักที่ส่วนปลายของ radius พร้อมด้วย dorsal angulation ของชิ้นส่วนปลาย มากกว่าครึ่งหนึ่งจะมี avulsion fracture ของ ulnar styloid process ร่วมด้วยเป็นกระดูกหักของบริเวณข้อมือที่พบบ่อยที่สุด โดยเฉพาะในผู้สูงอายุ ดังรูป sk 85

รูป sk 85 Colles' fracture แสดง dorsal fragment ของ radius

 

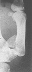
      Smith's Fracture เป็นกระดูกหักที่ส่วนปลายของ radius พร้อมด้วย ventral angulation ของชิ้นส่วนปลาย ดังรูป sk 86

รูป sk 86    Smith's fracture A. แสดง  forward displacement ของกระดูก radius
       B. แสดง การดามด้วย buttress plate ผู้ป่วยสามารถทำงานได้ใน 3 อาทิตย์

       Monteggia's Fracture เป็นกระดูกหักที่ส่วนต้น หนึ่งในสามของ ulna กับ volar angulation ของชิ้นส่วน พร้อมด้วย volar dislocation ของ ส่วนต้นของ radius ดังรูป sk 87
รูป sk 87 Monteggia's Fracture

           

      Galeazzi's fracture เป็นกระดูกหักที่ส่วนปลาย  หนึ่งในสามของ radius กับ distal radioulnar dislocation ดังรูป sk 88

รูป sk 88  Galeazzi's fracture

          

      Bennet's fracture เป็นกระดูกหักที่ฐานของ first metacarpal bone พร้อมด้วย lateral subluxation ดังรูป sk 89

รูป sk 89  Bennet's fracture dislocation