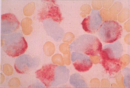
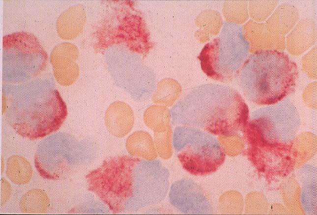
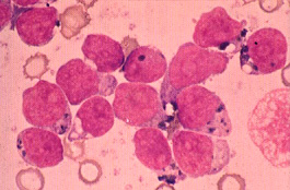
|  ภาพแสดงการตรวจหา specific esterase
ใน ANLL M3 พบว่าให้ผลบวก ติดสีแดงสด | Specific Esterase 
      เป็นการตรวจหา activity  ของ specific
enzyme   ใน granulocyte  โดยพบว่า Neutrophil specific enzyme
ใน neutrophil สามารถ hydrolyse substrate  ทีใช้ ทำให้เกิดปฏิกิริยา
ให้สารที่มีสีแดงสด | 
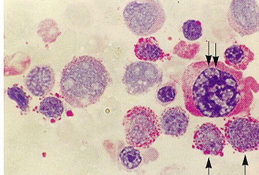
|  ภาพแสดงการตรวจหา nonspecific- esteraseใน ANLL M5 พบว่าให้ผลบวก
ติดสีน้ำตาล | Nonspecific Esterase 
       เป็นการดู activity ของ enzyme nonspecific
esterase ในเซลล์ พบว่าจะเกิดปฏิกิริยา เกิดสีน้ำตาลแดง โดยพบมากเป็นพิเศษใน monocyte และ macrophage รองลงมาคือ plaslma cell,
erythroblast, และ megakaryocyte พบได้น้อยใน hemopoietic cell อื่นๆ
 | 
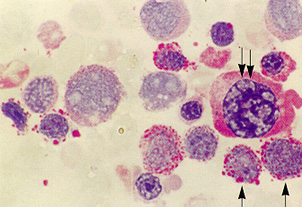
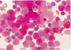
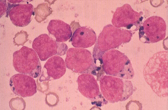
|  ภาพแสดงการติดสี specific esterase ของ granulocyte series (สีแดงสด)
และ การติดสี nonspecific esterase ของ monocyte series (สีน้ำตาลแดง) | Combined esterase 
(Dual esterase)  
      เป็นการย้อมทั้ง 2 อย่างร่วมกัน เพื่อช่วย
ในการให้การวินิจฉัยแยก subtype ของ โรค ANLL ระหว่าง ANLL M3, M4 และ M5
ซึ่ง เซลล์กลุ่ม myelocytic จะติดสีแดงสด 
ของ specific esterase ส่วนเซลล์กลุ่ม monocytic จะติดสีน้ำตาลแดงของ
nonspecific esterase |