Morphologic Classification of Leukemic Cells
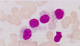
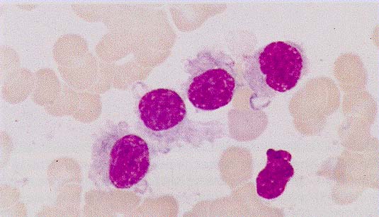
     Lymphoblast 
 
    Nucleus  : nucleus หรือ nuclei มักจะมี clefted 
     Nuclear chromatin : nuclear chromatin มักจับกันเป็นก้อนๆ (clumped) และกระจายใน nucleus ไม่สม่ำเสมอ 
      Nucleoli : nucleoli จะเห็นได้ชัดเจน 
     Cytoplasm : cytoplasm มักจะมี ปริมาณน้อย และไม่มี granules
 
     Myeloblast 
 
Nucleus : ขอบเขตของ nucleus มักพับหรือมีหยัก 
Nuclear chromatin  : nuclear chromatin จะละเอียด และมี nucleolar กับ nuclear membranes ไม่ชัดเจน 
Cytoplasm : cytoplasm จะมีปริมาณมากกว่าใน lymphoblast    และอาจจะมี fine granules ซึ่งมี ลักษณะเหมือนกับที่เห็นใน promyelocytes ปกติ 
(promyelocyte ใน acute promyelocytic leukemia (ANLL-M3) จะเป็น abnormal  (hypergranular) promyelocyte ) 
Auer rod (ลูกศรชี้) :  เป็นแท่งของ Dysplastic lysosomes ถือเป็น pathognomonic signs ของ ANLL โดยย้อมติดสีเป็นแท่งสีชมพู-แดง   พบใน ANLL ประมาณ 10-30% ไม่พบใน ALL หรือโรคอื่น 
 
 
     Myeloblast แบ่งออกเป็น 2 ชนิดคือ 
 
 
Type I Blast 
เป็น blast ที่ไม่มี granule มี chromatin ที่ละเอียด มี nucleocytoplasmic ratio สูง และมักมี prominent nucleoli
 
 
Type II Blast 
เป็น blast ที่มี  azurophilic granules มี chromatin ที่ละเอียด มี nucleocytoplasmic ratio ค่อนข้างน้อยและ มักมี prominent nucleoli 
 
      Prolymphocyte
 
 
ขนาดของเซลล์ : เป็น mononuclear cell ที่มีขนาดค่อนข้างใหญ่   มักมีขนาดใหญ่กว่า small lymphocyte 
Nucleus : nucleus รูปไข่หรือกลม Nuclear Chromatin : nuclear chromatin จะหยาบ และ ทึบ ซึ่งใช้แยกจาก  lymphoblast 
Nucleolus : มี prominent  nucleolus 
Cytoplasm : cytoplasm จะมีปริมาณมากกว่า small  lymphocyte ไม่มี granule และย้อมติดสี basophilic
 
     Hairy Cell 
 
ขนาดของเซลล์ : เซลล์มีขนาดประมาณ 10-25 um 
Cytoplasm :  cytoplasm ติดสีซีด สีออกฟ้า-เทา และไม่มี granular และมีขอบเขตของเซลล์ เป็นหนามแหลมคล้ายเป็นขน (cytoplasmic (hairy) projection) โดยมีจำนวนของหนาม ดังกล่าว แตกต่างกันไป 
Nucleus : nucleus  หรือ nuclei
อาจจะมีลักษณะกลม รี หรือเป็นแบบ dumbbell-shaped Nuclear chromatin  : จะ homogenous และ ไม่ค่อยติดกันเป็นก้อนๆ    นอกจากนี้ ยังติดสีจางกว่า  lymphocyte ปกติ และเซลล์ในโรค chronic lymphocytic leukemia และ prolymphocytic leukemia 
Nucleli : มักเห็นได้ไม่ชัด