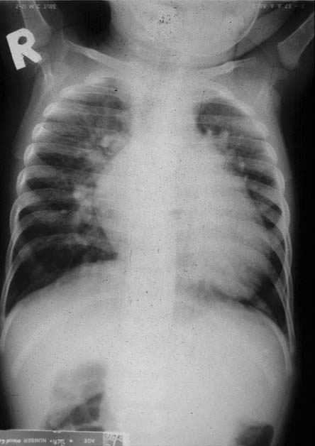
ตัวอย่างผู้ป่วยรายที่ 5
 
             ผู้ป่วยอายุ 3 เดือนเขียวตั้งแต่แรกเกิดร่วมกับมีอาการทางคลินิกของภาวะหัวใจล้มเหลว การตรวจร่างกายพบ
  single S2,  grade 3/6 systolic ejection murmur at MLSB คลำตับได้ 3 cm ต่ำกว่าชายโครงขวา
 
Chest x-ray : Cardiomegaly (egg lying pattern)  with increase pulmonary vascularity
EKG : RAD, CVH predominant RV 

 

 
 

 
          ลักษณะการเปลี่ยนแปลงการไหลเวียนของโลหิตในผู้ป่วยรายนี้เป็นแบบ right to left shunt with abnormal of systemic and pulmonary veins to aorta or pulmonary artery เนื่องจากผู้ป่วยมีอาการเขียวร่วมกับมีลักษณะ 
increase pulmonary vascularity ในภาพรังสีปอด ลักษณะที่พบเกิดจากการที่มี bidirectional shunt  จึงทำให้มีปริมาณโลหิตที่ไหลไปปอดเพิ่มขึ้น ดังนั้นการวินิจฉัยแยกโรคได้แก่ TGA, TGA with VSD, Truncus type I,II,III, DORV 
 
Home Page I Menu I บทนำ I คำย่อที่ใช้  I แนวทางการวินิจฉัย I หลักการวินิจฉัยแยกโรค I ตัวอย่างผู้ป่วย I บรรณานุกรม