|
Sacrococcygeal teratoma with necrosis of the overlying skin, lateral view
|
|
Sacrococcygeal teratoma showing mixed tissue including hair
|
|
|
Large mixed solid and cystic sacrococcygeal teratoma
|
|
|
Total excision of the mass and reconstruction of the gluteul area in sacrococcygeal teratoma
|
|
|
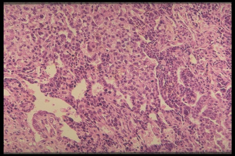
Immature teratoma examined histologically demonstrated malignant potential
|
|
|
Large lumbosacral mass
|