Umbilical Abnormalities
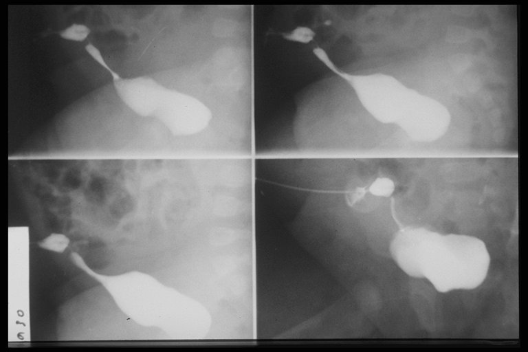
A catheter is introduce through the fistula for fistulogram
Plain X-ray showed that the catheter is located in the suprapubic region which is most likely in the bladder

Contrast study fills the bladder proving the fistula to be a patent urachus

Fistulogram demonstrates the tract connecting the umbilicus and the urinary bladder

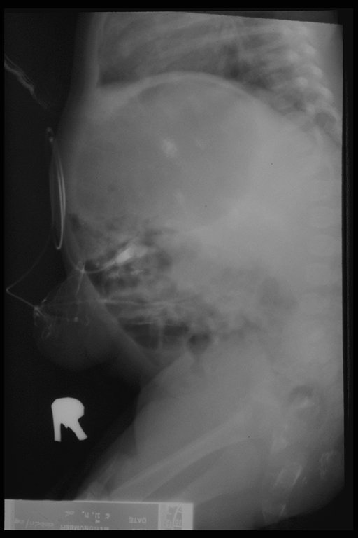
Plain X-ray shows the catheter inside the peritoneal cavity

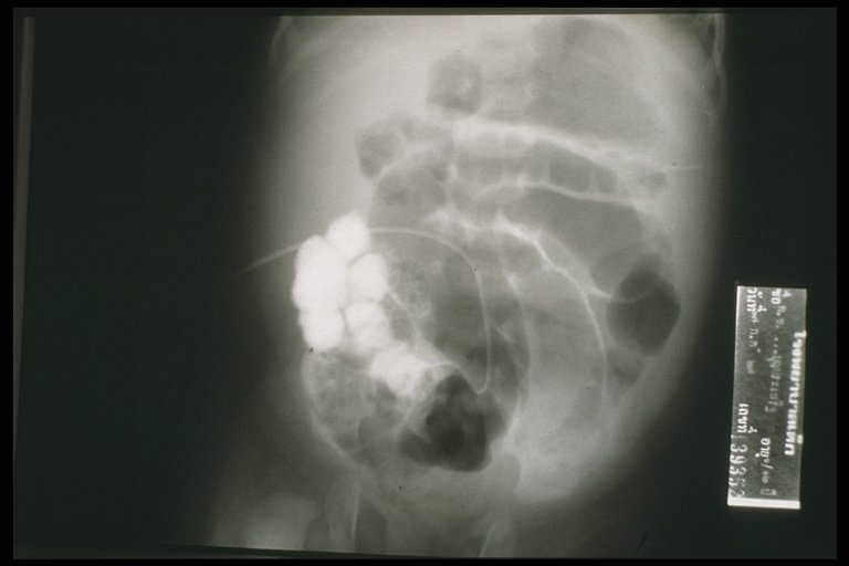
Contrast filled through the catheter into the intestine - patent vitelline duct
Fistulogram demonstrated the tract connected between the umbilicus and the intestine

Fistulogram in a child with umbilical hernia and fistula demonstrates the connection to the intestine
Fistulogram demonstrated the tract connected between the umbilicus and the intestine
At operation, a patent vitelline duct is demonstrated connected between the umbilicus and Meckel's diverticulum