Respiratory Problem
Operative finding of congenital lung cyst
Chest X-ray finding in a case of cystic adenomatoid right lung

Operative finding in a case of cystic adenomatoid right lung

Operative finding in congenital lobar emphysema

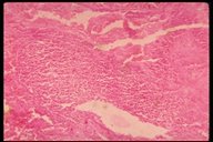
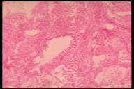
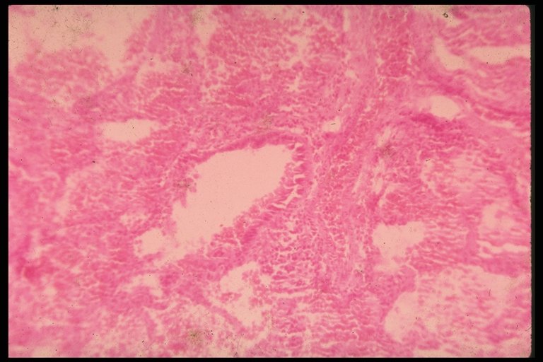
Histopathological appearance in congenital lobar emphysema

Histopathological appearance in congenital lobar emphysema
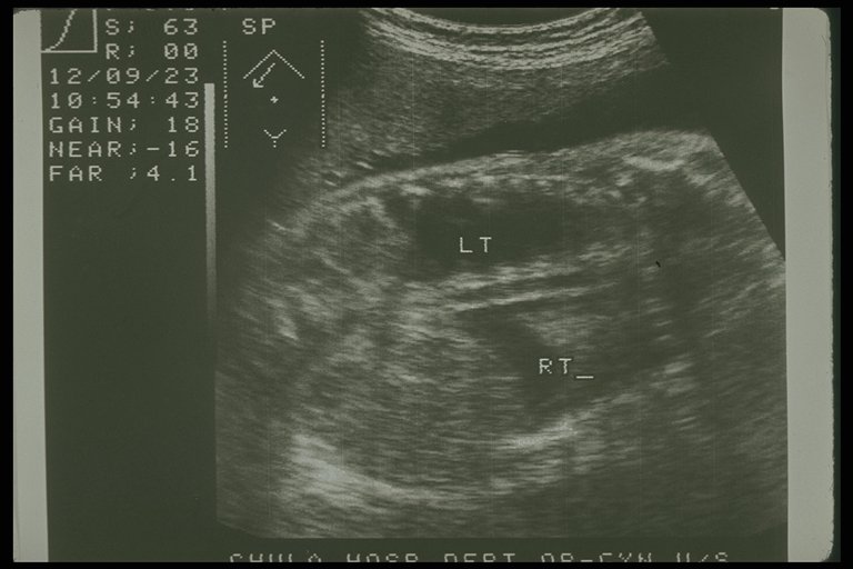
Prenatal ultrasonography showed bilateral congenital chylothorax, massive pleural effusion was detected in both chest cavity

Prenatal ultrasonography showed bilateral congenital chylothorax, massive pleural effusion was detected in both chest cavity
Prenatal ultrasonography showed bilateral congenital chylothorax, massive pleural effusion was detected in both chest cavity
Prenatal ultrasonography showed bilateral congenital chylothorax, massive pleural effusion was detected in both chest cavity