Abdominal Pain
Twisted duplication cyst at transverse colon
Rectal duplication. A barium enema demonstrates hollow mass anterior and connected to the rectum (barium outlined the mass)

Rectal duplication. Operative finding of bulging cystic mass into the rectum

Meconium peritonitis. A classical plain abdominal X-ray demonstrates calcified extravasated meconium in the peritoneal cavity since fetal growth. Free air in the abdomen (football sign) is also noted

Meconium peritonitis. A classical plain abdominal X-ray demonstrates calcified extravasated meconium in the peritoneal cavity since fetal growth. Free air in the abdomen (football sign) is also noted

Meconium peritonitis. Scattered concentric pattern of calcification spread throughout the peritoneal cavity with intraabdominal fluid shows that there was meconium leakage sometime during fetal life.
Meconium peritonitis. Scattered concentric pattern of calcification spread throughout the peritoneal cavity with intraabdominal fluid shows that there was meconium leakage sometime during fetal life.

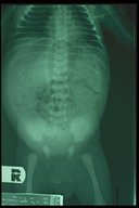
Meconium peritonitis. A classical abdominal X-ray demonstrates calcified extravasated meconium in the peritoneal cavity since fetal growth. Free air in the abdomen (football sign) is also noted.
Meconium peritonitis. A classical abdominal X-ray demonstrates calcified extravasated meconium in the peritoneal cavity since fetal growth. Free air in the abdomen (football sign) is also noted.
Meconium peritonitis. At operation, matted loops of intestine with calcification over the surface are shown. The perforated site of intestine is also demonstrated where there is a leak of meconium.