Hirschsprung's Disease
Ganglion cells (arrow) are demonstrated in normal bowel segment
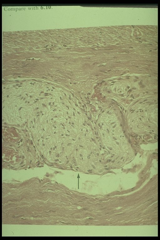
Only thick nerve fiber is demonstrated without ganglion cell in Hirschsprung's disease

Noblett type suction biopsy set

Suction rectal biopsy is done without any anesthesia

A tiny piece of rectal tissue obtained from suction biopsy including mucosa and submucosa is sufficient for Acetylcholinesterase activity study

Normal acetylcholinesterase activity in normal specimen
Increased acetylcholinesterase activity in Hirschsprung's disease, thick staining is observed in mucosa and submucosa layer

Increased acetylcholinesterase activity in Hirschsprung's disease, thick staining is observed in mucosa and submucosa layer
Increased acetylcholinesterase activity in Hirschsprung's disease, thick staining is observed in mucosa and submucosa layer (LP: lamina propria, MM: muscularis mucosae, SM: submucosa)
Increased acetylcholinesterase activity in Hirschsprung's disease, thick staining is observed in mucosa and submucosa layer (LP: lamina propria, MM: muscularis mucosae, SM: submucosa)