Hirschsprung's Disease
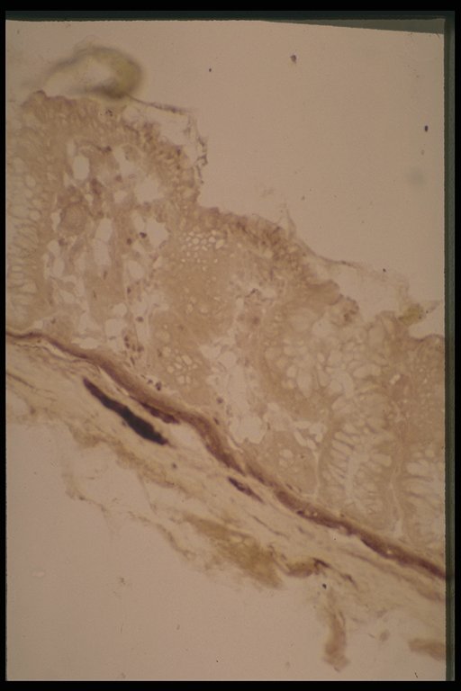
Sometimes, especially in the newborn, only thick nerves with increased acetylcholinesterase activity are demonstrated in the submucosa, a variation that can be accepted as Hirschsprung's disease
Sometimes, especially in the newborn, only thick nerve with increased acetylcholinesterase activity is demonstrated in the submucosa, a variation that can be considered Hirschsprung's disease (LP: lamina propria, MM: muscularis mucosae, SM: submucosa)

The colon with enterocolitis, a common complication in Hirschsprung's disease

Contrast study showed fecaloma in the rectal reservoir after Duhamel's operation