Gastrointestinal Abnormalities
Operative view at ligament of Trietz, the jejunum is found intussuscepted by the proximal duodenum
This Meckel's diverticulum is atypical one, it is identified on the mesenteric side whereas most diverticula are on the antimesenteric side

This Meckel's diverticulum is also atypical one with bifid appearance

The perforation of an inflamed Meckel's diverticulum caused peritonitis and partial obstruction. Fibrin coated on the diverticulum is noted

A Meckel's diverticulum is found adherent to the anterior abdominal wall at umbilicus. The attached band (omphalomesenteric or Meckel's band) caused small bowel obstruction in this child

A resected specimen consisted of Meckel's diverticulum, omphalomesenteric band and some part of umbilicus

Meckel's scan. Technetium 99m radionuclide scan demonstrates concentration in the mucosa of stomach, urinary bladder and in the right lower abdomen - the location of the Meckel's diverticulum
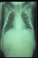
Free air under the dome of right diaphragm indicates that there is bowel perforation

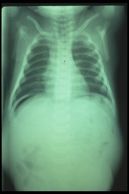
Large gas shadow at the central abdomen in the supine film and the well outlined falciform ligament (white line) indicates bowel perforation
Trichobezoars, operative finding of bezoars at gastric outlet caused obstruction
Trichobezoars removed from the stomach