Gastrointestinal Abnormalities
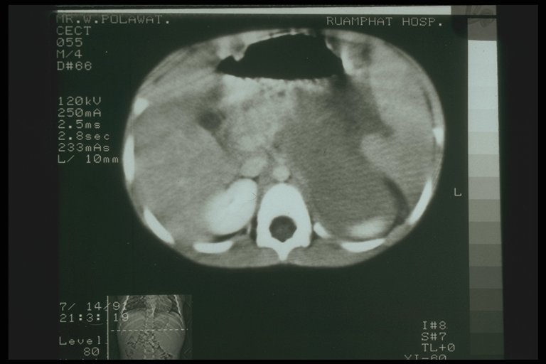
Pancreatic abscess. CT scan showed swelling of the body of pancreas with radiolucent area indicating abscess formation
Pancreatic abscess. CT scan showed swelling of the body of pancreas with radiolucent area indicating abscess formation

Gross pathological finding of splenic abscess in Mellioidosis

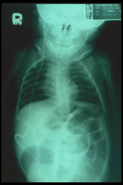
Plain abdominal X-ray in a hydrocephalous child demonstrates the picture of small bowel obstruction caused by the ventriculo-peritoneal (VP) shunt

Operative finding of segmental enteritis

Plain abdominal x-ray shows typical bean-like loop of dilated bowel at left lower abdomen, volvulus of intestine is diagnosed. At operation, volvulus of intestine is found over the Meckel's or omphalomesenteric band
"Let the patient examines himself" is helpful for abdominal examination in children