Injury
Subcapsular hematoma of the right lobe liver demonstrated by ultrasonography, a low echoic area is characteristic finding
Subcapsular hematoma of the right lobe liver demonstrated by liver scan as an area of low radionuclide uptake

Intrahepatic hematoma of the right lobe liver demonstrated by ultrasonography

Severe liver injury with intrahepatic hematoma

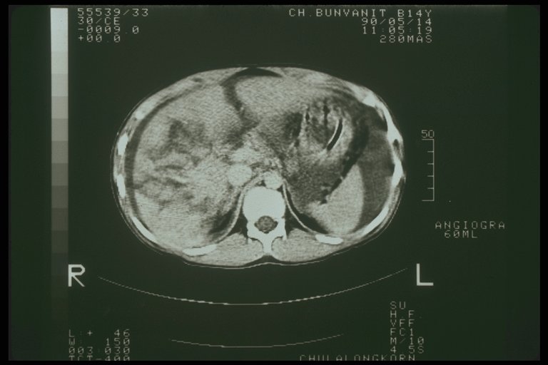
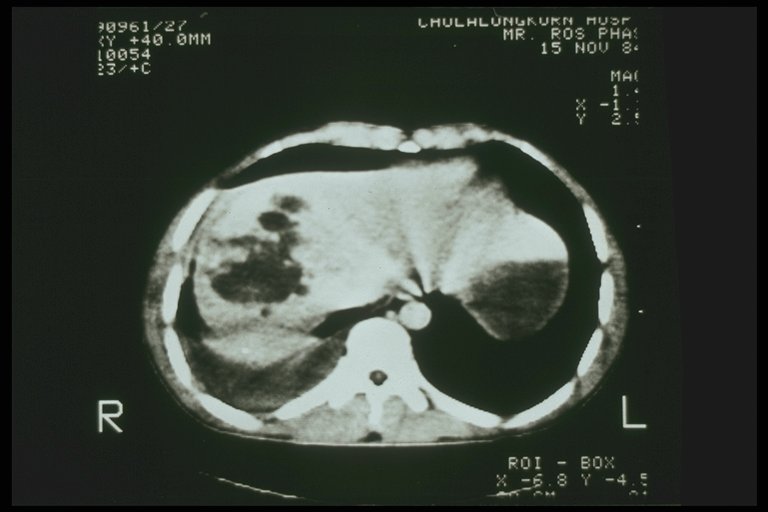
Severe liver injury, multiple laceration over the right lobe are noted from CT scan

Splenic laceration demonstrated by CT scan
Combined severe liver injury and splenic hematoma, intraperitoneal bleeding is also noted

TAfter conservative treatment of even severe liver injury with stable hemodynamic status, the liver resolutes very well (CT three weeks after injury)
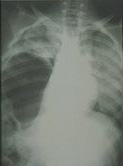
Multiple thoracoabdominal injury, haziness and blunting of costodiaphragmatic recess indicating the hemothorax.
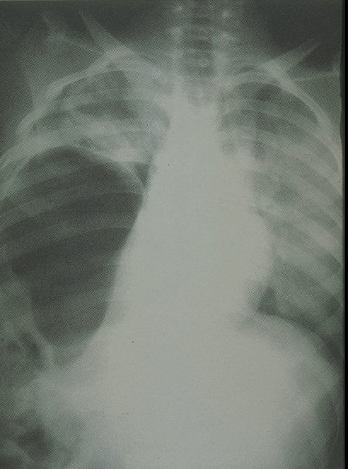
Plain chest X-ray finding of ruptured diaphragm. The bowel gas pattern is noted in the right hemithorax