Injury
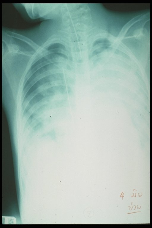
Retained guidewire in the Inferior vena cava after angiography (film chest)
Injury of the genitalia with degloving (skin loss) of the penis and scrotum

Ankle injury with exposed tendon and bone

Lateral malleolar skin flap is done to treat the ankle injury with exposed tendon and bone (recipient site)

Lateral malleolar skin flap is done to treat the ankle injury with exposed tendon and bone (donor site covered with full thickness prepuce graft)

Depressed skull fracture caused by birth trauma
TPeriosteal reaction of skull is demonstrated in skull injury

X-ray showed a fracture line on the ischium (arrow) and both pubic rami in a child with severe pelvic fracture and massive retroperioneal hemorrhage
Angiogram in the child with pelvic fracture demonstrates the large retroperitoneal hematoma on the left side displaced the bladder upward
Selective angiogram demonstrated the tear of internal iliac vessels(artery)